Full Mouth Reconstruction
Full Mouth Reconstruction is a comprehensive treatment that rebuilds and enhances the function, health, and appearance of your teeth. It may involve dental implants, veneers, crowns, bridges, or full-mouth rehabilitation to address missing, damaged, or worn-down teeth. This personalized approach not only restores aesthetics but also improves bite alignment, chewing ability, and overall oral health. With the expertise of a prosthodontic specialist, full smile restoration can transform your confidence and quality of life with a beautiful, long-lasting smile.
-
A full smile restoration may include a combination of dental implants, veneers, crowns, bridges, and bite correction to restore both the appearance and function of your teeth, addressing issues like missing, damaged, or worn-down teeth.
-
The process can take 3-6 months as it involves multiple stages, including planning, treatment, testing and ensuring everything is comfortable and healing time for procedures. However, the result is a permanent, life-changing transformation.
-
While there may be some discomfort during the healing process, most treatments are performed under local anesthesia or sedation, making the procedure itself virtually pain-free. Post-treatment discomfort is typically manageable with medication.
Your Dream Smile
Your Dream Smile
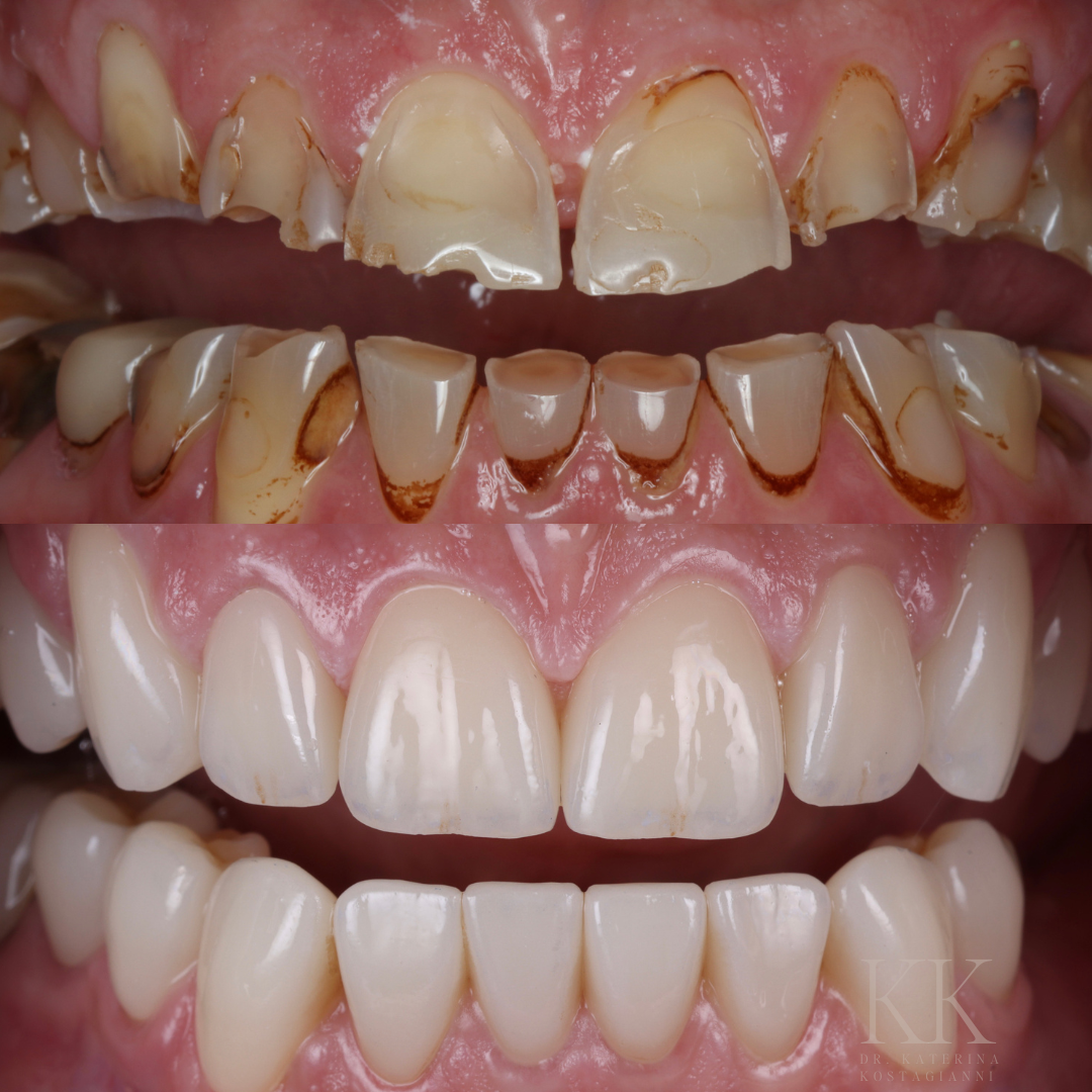
CASE STUDY 1
Full Smile Restoration. This patient came to us with severe wear on his teeth caused by years of grinding, leading to both functional and aesthetic concerns. The teeth were significantly worn down, and his bite had lost stability. After a comprehensive consultation and digital smile analysis, we developed a full-mouth reconstruction plan using a combination of crowns, veneers, and restorative materials—all carefully selected to meet his individual needs. We also addressed his occlusal plane to reestablish proper bite alignment, though minor gum asymmetry remains. With a focus on minimally invasive techniques and functional balance, the result is a dramatically improved smile that looks natural and feels strong.
CASE STUDY 2
This smile makeover was truly something special. The patient presented with teeth that were severely worn down, discolored, and structurally compromised—putting both function and gum health at risk if left untreated. For this case, it wasn’t just about improving aesthetics; it was about restoring full oral health and long-term stability. Years of wear and tear had taken a noticeable toll, but with a comprehensive plan and digital smile design, we used a full set of upper and lower ceramic crowns to rebuild the smile. Through careful planning and minimally invasive techniques, we were able to achieve a result that’s not only beautiful, but also strong and functional. It’s always incredible to witness the impact the right treatment can have on a patient’s confidence and quality of life.
Full Mouth Reconstruction Process
Consultation & Planning
The process begins with a comprehensive consultation, where we examine your teeth, gums, bite, and jaw joints. Using digital X-rays and scans, we gain a detailed understanding of your oral health. My goal is to replace any failing teeth, outdated fillings, crowns, or veneers while enhancing your bite alignment. The result is a healthy, functional, and beautifully restored smile that supports both your oral and overall well-being.
Once we have a clear understanding of what your mouth needs to achieve a healthy, beautiful smile, I create a comprehensive treatment plan tailored to you. Together, we’ll review and schedule each recommended procedure - which may include dental crowns, extractions, fixed bridges, root canal therapy, full dentures, teeth whitening, or periodontal care - ensuring every step supports your long-term oral health and aesthetic goals.
Rebuilding Your Smile
Customized Procedures
Your personalized treatment plan is crafted to deliver a beautiful, functional, and healthy smile. Full mouth restoration often involves multiple phases over several months, beginning with the removal of any problematic teeth, outdated fillings, crowns, or veneers. From there, we proceed with your tailored treatment approach, carefully rebuilding and restoring your smile to its ideal form and function.
Aftercare and Healing Support
I recognize that restorative treatment is a significant investment—so let’s protect it. We will equip you with detailed aftercare instructions to support healing and preserve your results. Routine dental check-ups and professional cleanings are essential to monitor the health of your implant, as well as the surrounding teeth and gums. With consistent oral hygiene and ongoing dental care, your implant can offer a lasting solution and help you maintain your beautifully restored smile for years to come.
Your Smile Design
Your journey to a healthier, more confident smile starts here.
With a free virtual consultation, you’ll receive expert guidance and tailored recommendations from a Prosthodontist specializing in full-mouth rehabilitation, dental implants, and cosmetic restorations - all without stepping into a dental office.
With just 2 simple steps to get started, you get a smile that has a personalized approach designed around your unique facial structure, function, and aesthetic goals.


